

![]()
![]()
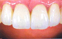
三愛歯科クリニックの審美歯科におまかせください。
オールセラミックとは、文字通りすべてセラミックでできた
被せもののことです。
(ジルコニアをフレームに使用して陶材を築盛)
天然歯と変わらないほどの審美性と光の透過性があり、とても自然です。
素晴らしいのは見た目だけではありません。金属を使わないため金属アレルギーの心配もなく、
そのうえ歯の形や、ちょっとした歯ならびも治せるため、「完璧な人工歯」とも呼ばれています。
オールセラミックとは違い、
金属を使ったフレームに陶材を焼き付けた被せもののことです。
天然歯と同じような色調を再現でき、審美性に優れています。
光の透過性がオールセラミックに比べてやや劣りますが、
咬合圧によって割れることがあるオールセラミックよりも、強度があり、とても丈夫です。
噛む力が強い方、歯ぎしりの癖がある方などは、こちらのメタルボンドが良いでしょう。
金属を全く使用せず、陶材と同等の強度を持ち、
金属アレルギーのある方にも安心して使用できます。
ただし連結冠やブリッジには対応していません。
「ハイブリッドセラミック」とは、レジンとセラミックを混合した素材です。
そのハイブリッドセラミックを使った天然歯のような詰めものが
「ハイブリッドセラミックインレー」です。
天然歯の色調そっくりにできることや金属アレルギーがないこと、変色しないこと、
咬合圧に強く咬み心地が良いことなど、数多くのメリットがあります。


歯を削らず白くでき、大きな負担もかかりません。
ホワイトニングには、ご家庭で行う「ホームホワイトニング」と、
歯医者さんで行う「オフィスホワイトニング」があります。
| ホームホワイトニング | オフィスホワイトニング |
| 型採りしてマウストレーを作製。 そこにホワイトニング剤を流し込み、 就寝時などリラックスした状態で施術します。 薬剤の濃度が低いので効果があらわれるまで 期間を要しますが、色が後戻りしにくいのが 特徴です。 |
歯医者さんで行うのが、オフィスホワイトニングです。 濃度の濃い薬剤を歯に塗り、 特殊な光を照射します。 効果はすぐにあらわれます。 |

![]()

歯の変色には、内的要因と外的要因があります。
| 内的要因 | 外的要因 |
| 加齢によるもの。歯の象牙質は年々色濃くなり、 同時に象牙質の上を覆うエナメル質も年々 摩耗してきます。その二つの変化により 歯がより黄色く、濃く見えてしまうのです。 |
飲食による着色です。 喫煙者の方やコーヒー・赤ワイン・カレーなどを 好んでいる方は、ホワイトニング効果が 出にくくなります。ご注意ください。 |
こちらは税別で表記しております。
| ホワイトニング料金 (前歯上下12本) | ¥25,000- |
| オールセラミッククラウン(ジルコニア+陶材) | ¥150,000- |
| オールジルコニアクラウン | ¥120,000- |
| メタルボンド(金属+陶材) | ¥95,000- |
| e.maxクラウン ホワイトクラウン(陶材+メタル) |
¥70,000- |
| 白金加金クラウン | ¥80,000- |
| エステニアクラウン | ¥40,000- |
| e.maxインレー | ¥42,000- |
| エステニアインレー | ¥20,000- |